Our Services
Internationally and
Nationally Reputed Expert
Our Services:
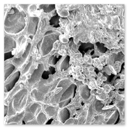
1. Scanning Electron Microscopy Processing unit
2. Transmission Electron Microscopy Processing unit
3. Histopathology Processing unit
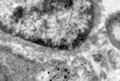
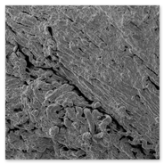
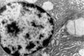
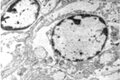
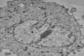
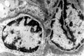
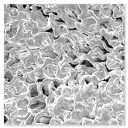
Electron Microscopy (EM): Basically two types:
1. Transmission Electron Microscope2. Scanning Electron Microscope
Objective of the Lab
1. Specimen preparation as per the prescribed standards2. To support the needy people for research and diagnostic purposes.3. Timely providing of specimens for TEM and SEM
Facilities available
1. Transmission Electron Microscope (TEM) processing unit2. Scanning Electron Microscope (SEM) processing unit3. Ultra Microtome and Histopathology4. Experience in the field of specimen preparation for past 16 years
Activities of the EM Facility
Extending the Research support to the Ph.D., M.Phil and P.G., Scholars of different Universities / Institutes, to strengthen, and to promote inter-institutional and interdisciplinary co-operative research. R & D Labs and Pharmalabs.
Terms and Conditions
Our Clients


























